Zubní implantáty po léčbě periodontitidy: cesta ke zdravému úsměvu

Kontrola kandidatury na zubní implantát
Zadejte informace pro kontrolu kandidatury
Tento nástroj vám pomůže zjistit, zda jste vhodným kandidátem na zubní implantát po úspěšné léčbě periodontitidy. Vyplňte následující údaje:
Po úspěšné léčbě periodontitidy mnoho lidí přemýšlí, jak obnovit ztracené zuby a zároveň se vyhnout dalším komplikacím. zubní implantát je umělý kořen, který se chirurgicky zavádí do čelistní kosti a slouží jako pevný základ pro náhradu zubu. Jedná se o titanový nebo zirkoniový šroub, který po integraci s kostí (osseointegrační proces) funguje stejně jako přirozený kořen. V tomto článku si ukážeme, proč jsou zubní implantáty jednou z nejúčinnějších možností, jak po periodontitidě získat funkční a estetický úsměv.
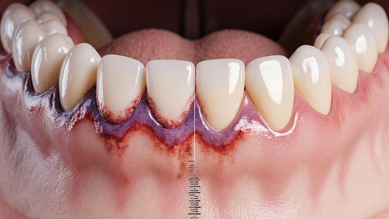
Co je periodontitida a proč ji nutně léčit?
Periodontitida je chronické zánětlivé onemocnění dásní a podpůrných struktur zubu. Pokud se zanedbá, bakterie postupně rozkládají kostní tkáň, což vede ke ztrátě podpory zubu. Mezi hlavní příznaky patří krvácení dásní, bolest při žvýkání a postupné uvolňování zubů.
Léčba zahrnuje profesionální čištění, antibiotika a někdy i chirurgické zákroky k obnově kostní hmoty. Správná léčba nejen zachová zbývající zuby, ale také připraví ústní dutinu na následné protetické řešení, jako jsou implantáty.
Jak fungují zubní implantáty?
Implantáty využívají princip osseointegračního spojení, kde titanové povrchy přitahují a spojují se s kostní tkání. Proces trvá 3-6týdnů, během nichž se implantát „přichycuje“ k čelisti. Po úspěšné integraci se na implantát nasadí abutment - spojovací prvek, na který se připoutá korunka, most nebo úplná protetická konstrukce.
Výhodou je, že implantát redistribuuje síly při žvýkání na kost, čímž zabraňuje dalšímu úbytku kostní hmoty, který je častý u tradičních protéz.
Léčba periodontitidy před implantací: co je potřeba?
Než se nasadí implantát, je nezbytné zajistit zdravý kostní základ. Pokud po periodontitidě zůstala významná ztráta kosti, může být nutná augmentace - přenos kostní dřeně, kostní blok nebo použití syntetických kostních materiálů.
Po chirurgickém zásahu a několikatýdenní uzdravovací fázi se provede kontrolní rentgen nebo CT, aby se potvrdila dostatečná výška a šířka kosti. Teprve poté se přistupuje k samotnému zavedení implantátu.

Hlavní přínosy implantátů po úspěšné léčbě
- Funkční stabilita: Implantáty umožňují žvýkat stejně jako přirozené zuby, což je klíčové pro správnou výživu.
- Estetika: Moderní korunky z keramiky napodobují přirozený vzhled a barvu zubu.
- Pozitivní psychologický dopad: Odstranění obav z pohyblivých protéz a zlepšení sebevědomí.
- Ochrana okolních zubů: Na rozdíl od mostů, implantát nevyžaduje ořezávání zdravých zubů.
- Dlouhodobá životnost: Při správné péči vydrží implantáty 20-30let a často i déle.
Kdy jsou implantáty vhodné? Kritéria výběru
Ne každý po periodontitidě může okamžitě dostat implantát. Zde jsou základní kritéria:
- Kostní objem: Minimální šířka 5mm a výška 8mm. V případě nedostatku je nutná augmentace.
- Stav dásní: Dásně musí být zdravé, bez aktivního zánětu.
- Celkové zdraví: Kontrola diabetu, kouření a imunitních onemocnění, která mohou proces hojení zpomalit.
- Očekávaná údržba: Pacient musí být ochoten pravidelně navštěvovat zubní lékaře a dodržovat ústní hygienu.
Možná rizika a jak je minimalizovat
I když jsou implantáty velmi úspěšné, existují určitá rizika:
- Infekce: Přenos bakterií během operace. Prevence - antibiotická profylaxe a sterilní technika.
- Selhání osseointegrace: Nedostatečná integrace s kostí. Sníží se tím, že se před operací zajistí dobrý stav kostní hmoty a nepřetržité sledování hojení.
- Poškození nervů: Při špatné technice může dojít k poranění nervů, což vede k necitlivosti. Zkušený implantolog používá CT plánování a navigaci.
Dodržování pokynů po operaci - jemná strava, vyhýbání se kouření a pravidelná kontrola - výrazně snižuje výskyt komplikací.

Srovnání: implantát vs. pevná protéza vs. odnímatelná protéza
Vlastnost | Implantát | Pevná protéza | Odnímatelná protéza |
---|---|---|---|
Stabilita | Vysoká - integrace s kostí | Střední - závisí na přilepení cementem | Nižší - pohyblivá, může se posouvat |
Údržba | Stejná jako u přirozených zubů | Vyžaduje pravidelnou kontrolu cementu | Nutná denní vyjímka a čištění |
Životnost | 20-30let nebo více | 10-15let | 5-10let |
Pohodlí | Jako přirozené zuby | Dobré, ale může být cítit | Často nepříjemné, může dráždit dásně |
Náklady | Vyšší investice (vyžaduje chirurgii) | Střední (menší náklady) | Nejnižší, ale vyžaduje častou výměnu |
Estetika | Vysoká - keramické korunky | Dobrý vzhled, ale méně přirozený | Proměnlivá, může být viditelná |
Praktické tipy: péče po implantaci
Úspěch implantátu závisí také na každodenní péči. Zde je stručný seznam, co dělat a nedělat:
- První 48hodin: měkká strava, vyhýbat se horkým nápojům.
- Po týdnu: jemně čistit okolí implantátu speciální zubní kartáčkem.
- Každý den: mezizubní kartáček nebo nit pro odstranění plaku.
- Každých 6měsíců: kontrola u implantologa a rentgen.
- Vyhýbat se kouření alespoň 2týdny před a po zákroku - výrazně zlepšuje hojení.
Dodržení těchto kroků prodlouží životnost implantátu a udrží ústní zdraví i po dlouhá léta.
Často kladené otázky
Mohu po periodontitidě rovnou dostat implantát?
Ne vždy. Je nutné nejprve stabilizovat dásně a často i doplnit kostní tkáň. Bez toho by implantát nedokázal správně zhojit.
Jak dlouho trvá hojení po zavedení implantátu?
Obvykle 3‑6týdnů, během nichž se implantát integruje s kostí. V komplikovaných případech může hojení trvat až 4měsíce.
Jsou implantáty bolestivé?
Samotná operace je prováděna pod lokální anestezií, takže bolest během zákroku necítíte. Po operaci může být mírná nepohodlnost, která utichá během několika dnů.
Jaký je rozdíl mezi titanovým a zirkoniovým implantátem?
Titan je osvědčený, má vysokou pevnost a skvělou osseointegraci. Zirkonium je esteticky výhodnější, protože je bílé a méně viditelné pod tenkou dásní, ale je dražší a vyžaduje preciznější chirurgii.
Mohu i nadále nosit běžnou zubní pastu?
Ano, po hojení můžete používat běžnou fluoridovou pastu. Dbejte jen na to, aby se nedostal plak pod implantát - používáte mezizubní kartáček.