Jak správně čistit a udržovat snímací rovnátka

Jak správně čistit a udržovat snímací rovnátka pro, 5 2025

Kontrola stavu vašich snímacích rovnátek

Tento nástroj vám pomůže zkontrolovat stav vašich snímacích rovnátek a poskytne doporučení k jejich údržbě. Výsledek závisí na odpovědích na několik jednoduchých otázek.

Varování: Pokud máte výrazné známky poškození nebo nespokojivé sedění, je třeba okamžitě navštívit ortodontu.

Proč je čištění snímacího rovnátka tak důležité?

Snímací rovnátka nejsou jen kovové dráty a plastové obálky. Jsou to přesně nastavené nástroje, které pomáhají vašim zubům dosáhnout ideální polohy. Ale pokud je nečistíte pravidelně, začnou sbírat bakterie, plak a zápach - a to všechno přímo na povrchu, který se dotýká vašich zubů a dásní. Výsledek? Zvýšené riziko kávových skvrn, zánětů dásní, zápachu z úst a dokonce ztráty zubů.

Nejde jen o hygienu. Nečisté rovnátka mohou způsobit, že vaše ortodontické léčení bude trvat déle. Bakterie a plak mohou způsobit, že rovnátka nebudou přesně sedět, a to způsobí, že vaše zuby nebudou posouvat správným směrem. V některých případech to znamená, že budete potřebovat další návštěvu u ortodonta - a to za peníze, které jste už zaplatili.

Co potřebujete k čištění snímacího rovnátka?

Nemusíte kupovat drahé speciální produkty. Stačí několik jednoduchých věcí, které už máte doma:

  • Měkká zubní kartáček (ideálně ten, který je určený pro citlivé zuby)
  • Teplá voda (ne horká!)
  • Neabsorbující mýdlo (např. mýdlo na nádobí bez přísad, barviv nebo parfémů)
  • Měkké hadříky nebo papírové ručníky
  • Speciální čisticí tablety pro snímací rovnátka (volitelně, ale doporučeno jednou týdně)

Nikdy nepoužívejte bělící zubní pastu, klasické čisticí tablety pro zuby nebo horkou vodu. Tyto věci mohou poškodit plast, způsobit deformaci nebo způsobit, že rovnátka ztratí přesnost.

Každodenní čištění: krok za krokem

Čistěte rovnátka hned po každém vyjmutí - nejen večer. Pokud jste je vyndali po jídle, nečekejte, až se vrátíte domů. Bakterie začnou růst hned po půl hodině.

  1. Vyjměte rovnátka a okamžitě opláchněte teplou vodou, abyste odstranili velké zbytky jídla.
  2. Navlhčete měkký kartáček a naneste na něj malé množství mýdla - ne zubní pasty.
  3. Čistěte každou plochu rovnátka, včetně vnitřní strany, která se dotýká zubů. Nezapomeňte na závěsy, háčky a kovové části.
  4. Nečistěte příliš silně. Stačí jemné kruhové pohyby. Přílišný tlak může rovnátka poškodit.
  5. Opláchněte pod teplou vodou, dokud nebudou všechny stopy mýdla pryč.
  6. Osušte měkkým hadříkem a položte je do čistého kontejneru.

Nezapomeňte čistit i kontejner, ve kterém rovnátka ukládáte. Bakterie se hromadí i tam. Každý týden ho opláchněte mýdlem a vodou, nebo ho vyměňte.

Týdenní hluboké čištění: kdy a jak?

Den za dnem vám stačí jemné čištění, ale jednou týdně potřebujete hlubší údržbu. Použijte speciální čisticí tablety pro snímací rovnátka - například Retainer Brite nebo Polident. Tyto tablety nejsou stejné jako ty pro zuby. Jsou navržené tak, aby odstraňovaly plak a zápach bez poškozování plastu.

Postup:

  1. Naplněte šálku studenou nebo teplou vodou (nikdy horkou!).
  2. Vložte jednu tabletu podle pokynů na balení.
  3. Vložte rovnátka do roztoku a nechte je působit 15-20 minut.
  4. Vytáhněte je a opláchněte pod teplou vodou.
  5. Osušte a uložte do čistého kontejneru.

Nikdy nechávejte rovnátka v roztoku déle než je doporučeno. Příliš dlouhé působení může způsobit zbarvení nebo ztvrdnutí plastu.

Snímací rovnátka ponořená v čisticím roztoku s tabletou v sklenici.

Co se nesmí dělat?

Tady je seznam věcí, které můžou váš rovnátka poškodit nebo způsobit zdravotní problémy:

  • Nepoužívejte horkou vodu. Teplota nad 60 °C může způsobit, že rovnátka ztratí tvar - a to znamená, že už nebudou sedět.
  • Nepoužívejte bělící zubní pastu. Obsahuje abrazivní částice, které škrábnou povrch a způsobí, že se na něm budou hromadit bakterie.
  • Nepoužívejte čisticí tablety pro zuby. Tyto tablety jsou příliš agresivní pro plast.
  • Nevkládejte rovnátka do kapes nebo do papírového kapesníku. Velká část lidí je ztratí nebo je poškodí. Vždy používejte pevný kontejner.
  • Nevykládejte je na koupelnu. Koupelna je plná bakterií, hlavně z toalety. Pokud je musíte nechat venku, dejte je do uzavřeného kontejneru.

Co dělat, když rovnátka začnou vonět?

Zápach z rovnátek není normální. Je to varovný signál, že se tam hromadí bakterie nebo plak. Pokud je vaše rovnátka začnou vonět:

  • Zvýšte frekvenci čištění na dvakrát denně.
  • Použijte týdenní čisticí tablety hned příští den.
  • Zkontrolujte, jestli nejsou v rovnátkách vidět bílé nebo zelené skvrny - to může být plíseň.
  • Pokud zápach přetrvává i po hlubokém čištění, obraťte se na ortodonta. Možná je potřeba rovnátka vyměnit.

Jak dlouho vydrží snímací rovnátka?

Pravidelná údržba může prodloužit životnost rovnátek až na 3-5 let. Bez ní mohou být poškozené již po 6-12 měsících.

Na co si dát pozor:

  • Malé trhliny nebo otvory - mohou tam hromadit bakterie.
  • Ztráta pružnosti - pokud se rovnátka nevracejí do původního tvaru, už nebudou efektivní.
  • Nevhodné sedění - pokud se vám rovnátka neuchycují dobře, nebo se vám stále vysunují, je čas na kontrolu u ortodonta.

Nikdy nezkoušejte opravit rovnátka sami. Nepravým ohřevem, lepením nebo škrábáním je můžete zcela poškodit.

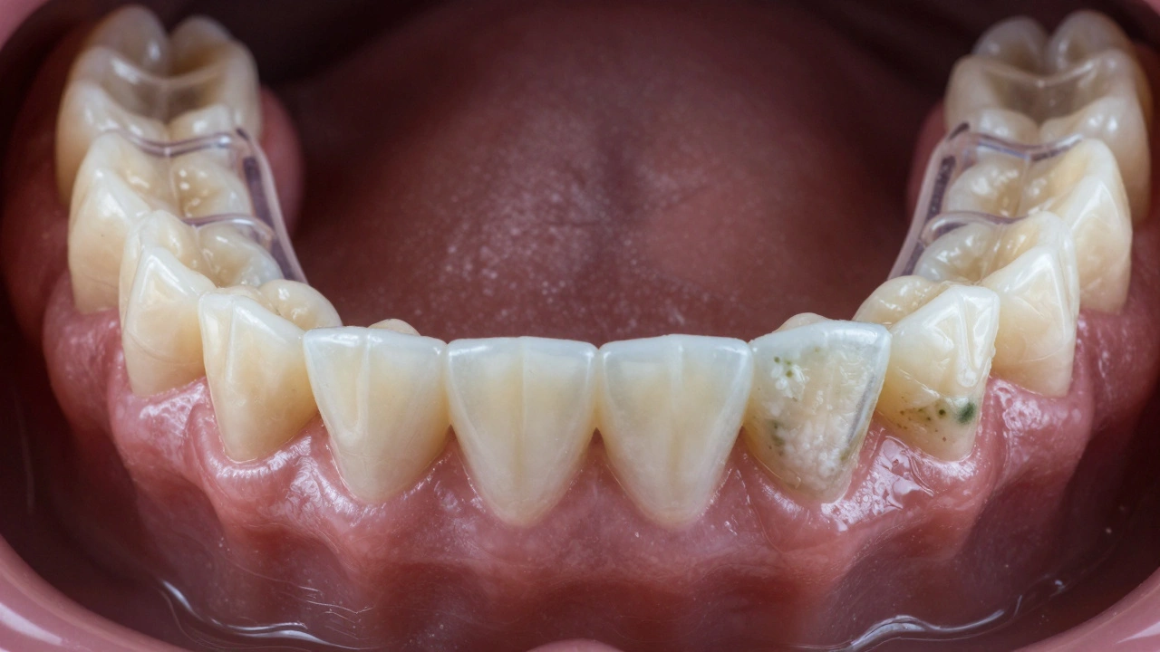
Znečištěné snímací rovnátko s viditelným plakem a plísní na povrchu.

Co dělat, když rovnátka ztratíte nebo je poškodíte?

Neztrácejte klid. Je to běžné - každý druhý pacient s rovnátky je někdy ztratil. Ale nečekávejte na příští návštěvu. Pokud je ztratíte nebo poškodíte:

  • Okamžitě zavolejte svému ortodontovi.
  • Nečekejte na závěrečnou kontrolu - bez rovnátek mohou vaše zuby začít měnit polohu už za 48 hodin.
  • Uložte si kontakt na ortodonta na telefonu nebo v aplikaci. Nečekávejte, až se vám to náhodou podaří najít.

Některé ortodontie mají službu rychlé výměny. Pokud jste v Praze, Brně nebo Ostravě, mnoho klinik vám může vyrobit nové rovnátka během 1-3 dní.

Co dělat, když máte rovnátka a nosíte zuby v noci?

Je to běžné - mnoho lidí má zuby v noci, a to i s rovnátky. Pokud máte obě, nezapomeňte:

  • Vyjměte rovnátka před spaním.
  • Čistěte je hned po vyjmutí.
  • Neukládejte je vedle zubních protéz - mohou se navzájem poškodit.
  • Udržujte obě v čistém, suchém kontejneru.

Pokud máte problém s tím, že se vám rovnátka vysunou během noci, obraťte se na ortodonta. Možná potřebujete jiný typ rovnátka nebo úpravu.

Kdy je čas na kontrolu u ortodonta?

Nečekávejte na plánovanou návštěvu, pokud:

  • Snímací rovnátka vás bolejí nebo způsobují zánět dásní.
  • Už se vám neuchycují dobře - zuby se nezdají být v pořádku.
  • Je na nich vidět zbarvení, které se neodstraní čištěním.
  • Je poškozený některý z háčků nebo závěsů.

Pravidelné kontroly každé 3-6 měsíců jsou důležité. I když se vše zdá být v pořádku, ortodont může detekovat malé změny, které byste jinak přehlédli.

Můžu čistit snímací rovnátka zubní pastou?

Ne. Většina zubních past obsahuje abrazivní látky, které škrábnou povrch rovnátka. To vytvoří mikrotrhliny, kde se hromadí bakterie. Používejte jen měkký kartáček a mýdlo bez barviv.

Jak často bych měl čistit snímací rovnátka?

Hned po každém vyjmutí - tedy alespoň dvakrát denně. Pokud jste je vyndali po jídle, čistěte je hned. Jednou týdně doporučujeme hluboké čištění pomocí speciálních tablet.

Můžu nosit rovnátka, když jsem nemocný?

Ne. Pokud máte nachlazení, chřipku nebo infekci úst, rovnátka mohou způsobit, že se bakterie hromadí na povrchu. Vyjměte je a čistěte je každý den. Po uzdravení je opláchněte teplou vodou a znovu vložte.

Je možné rovnátka čistit v myčce na nádobí?

Nikdy. Vysoká teplota, agresivní čisticí prostředky a tlak vody způsobí, že rovnátka ztratí tvar, zbarví se nebo se rozbijí. Používejte pouze ruční čištění.

Co dělat, když rovnátka ztratím?

Okamžitě zavolejte svému ortodontovi. Bez rovnátek mohou vaše zuby začít měnit polohu již za 48 hodin. Mnoho klinik vám může vyrobit nové během 1-3 dní.